
VUELTA A ESPAÑA (12ª ETAPA)
La tercera de Degenkolb

VUELTA A ESPAÑA (11ª ETAPA)
La moto de AS no causó la caída que obligó a abandonar a Nairo

VUELTA A ESPAÑA (11ª ETAPA)
Aru estrena Aralar y Valverde reduce 7 segundos a Contador

Real Sociedad - Real Madrid
Cristiano decide parar y no volverá hasta el derbi del 13-S

Supercopa | Atlético - Real Madrid
Cristiano Ronaldo pasará hoy una prueba para ver si juega

COPA DEL MUNDO | ESLOVENIA
Lorbek, lesionado, se pierde la Copa del Mundo con Eslovenia

ATLÉTICO DE MADRID
Mario Suárez ya está en Madrid

REACCIONES A LA LESIÓN DE GEORGE
Mark Cuban: "El COI es corrupto"

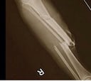
ESTREMECEDORA LESIÓN
Así quedó la pierna de Paul George tras su lesión

Sebastián Álvaro
Tragedia en el K2: el precio de la cumbre

COPA DEL MUNDO | ARGENTINA
Ginóbili sufre una fractura y podría ser baja en el Mundial
Página161













