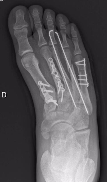
Tres placas, dos clavos y quince tornillos en el pie de Baz
El galo del Avintia será baja en Montmeló: "No es un hueso roto, son todos, porque en el que no tengo partido, los ligamentos se han roto".


Loris Baz, piloto del Avintia Racing de MotoGP, el hombre que salió ileso de una caída a 290 por hora en Sepang, causará baja en la carrera de la próxima semana en Montmeló fruto de una caída mucho más lenta en Italia. El francés sufrió fracturas diafisarias en los metatarsos de su pie derecho en una caída conjunta en la carrera de Mugello con Jack Miller y Álvaro Bautista, que fue quien la provocó involuntariamente. El francés fue operado el pasado miércoles por el Dr. Adrien Ray en el hospital La Tour de Meyrin/Ginebra, en Suiza, y aunque la operación resultó un éxito requerirá entre cuatro y seis semanas para su recuperación. Por ello, Baz se ha fijado como objetivo reaparecer en la carrera de Assen del 26 de junio, la primera de MotoGP que se correrá en Holanda en domingo, y el equipo decidirá próximamente quién le sustituirá a lomos de su Desmosedici GP14.2 en el GP de Cataluña.
A pesar de que una de las fracturas era más complicada de lo que parecía en un primer momento, los médicos pudieron llevar a cabo su trabajo en hora y media, fijando las fracturas con tres placas de titanio, dos clavos y quince tornillos. Está visto que material tiene para montar una ferretería pero, bromas al margen, lo importante es que el piloto de 23 años ha recibido el alta médica hoy, pero no será hasta dentro de una semana cuando pueda comenzar la rehabilitación con fisioterapia.

Noticias relacionadas
"Es una pena, porque la lesión ha sido bastante grande, entre comillas, porque no es algo grave de salud, pero es algo que lleva tiempo recuperar. No es un hueso roto, son todos los del pie, porque en el que no tengo partido, los ligamentos se han roto", asegura Baz en unas declaraciones facilitadas por el departamento de comunicación del Avintia Racing. Y continúa: "Ha sido una lesión bastante fea, pero estoy muy contento por el gran trabajo que ha hecho el equipo del Dr. Mahler. Pero no hay milagros y no podemos recuperar los huesos en una semana para estar en Barcelona. Es imposible. Pero yo quiero estar en Assen y vamos a luchar para conseguirlo. Ahora me iré a casa a descansar unos días porque no puedo hacer nada en una semana y después empezaré a trabajar con el fisio para no perder la forma física".
Para rematar, Loris ha tenido un detalle de calidad que sirve para calibrar la buena gente que es: "También quiero dar las gracias a todo el equipo porque me están apoyando mucho, Bocha, Raúl, mis mecánicos y Héctor (Barberá), que me pregunta a todas horas cómo voy. Siempre es difícil estar en el hospital cuando quieres estar encima de la moto, pero cuando sabes que tienes un equipo así, que cree en ti y te apoya, ayuda mucho. Por supuesto a mi familia que desde el domingo no se han separado de mí. Y por último a los médicos del hospital de Mugello, el equipo médico de MotoGP y a la Clinica Mobile, porque allí hicieron un gran trabajo reduciendo la luxación”. Estos días seguro que se entretiene desde casa con la final de la Champions en la que juega el equipo de sus amores, el Real Madrid, de su conocido Zinedine Zidane, con el que pasó la Nochebuena de 1998.




