Urán se fractura un dedo del pie al tropezar con su cama
"Me rompí el dedo pequeño del pie contra la punta de la cama", escribió el colombiano Urán en Instagram, y agregó: "Otra fractura para mi palmarés".

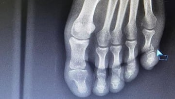
El ciclista colombiano Rigoberto Urán (EF Education Nippo) se fracturó el dedo meñique del pie izquierdo al tropezar con su cama, informó este lunes el corredor en redes sociales. "Me fracturé el dedo pequeño del pie con la punta de la cama", escribió Urán en Instagram, y agregó: "Otra fractura para mi palmarés, pero nada nos frena". La publicación está acompañada de una radiografía en la que se aprecia la lesión.
Noticias relacionadas
El corredor, que estos días está en su natal Urrao, en el departamento de Antioquía, no informó de si la fractura implica alguna incapacidad que le impida seguir con el plan de entrenamientos que desarrolla de cara a la temporada de este año. Urán se sometió el pasado 4 de noviembre a una cirugía para retirarle una de las placas que le pusieron en una clavícula, tras una caída sufrida en la Vuelta a España de 2019.
El ciclista, subcampeón del Giro de Italia en 2013 y 2014 y del Tour de Francia en 2017, anunció el 11 de octubre que daba por terminada su temporada por considerar que "ya es hora" de regresar al quirófano para retirar de su clavícula izquierda una placa. El escalador, octavo en el Tour de Francia de 2020, pasó tres semanas hospitalizado en Barcelona, donde fue sometido a una operación que duró siete horas, pues sufrió la perforación de un pulmón, fractura de clavícula y omóplato.

