La IA de Google te dirá si tendrás problemas de corazón mirándote a los ojos
Así funciona el nuevo algoritmo de los de Mountain View que puede diagnosticar problemas cardíacos.

Las enfermedades cardiovasculares son fáciles de prevenir con una serie de buenos hábitos alimenticios, pero nunca está de más realizar una verificación para saber que tu organismo está en orden. Para su detección es necesario una analítica previa que tarda bastante en llegar, eso si consideramos que la IA de Google advierte de problemas de corazón en el momento.
Google sabe si tendrás enfermedades cardiovasculares en el momento
Noticias relacionadas
La inteligencia artificial nos sorprende cada vez más con nuevos usos. Lo que empezó en su día como un software de reconocimiento de objetos y que podía adivinar que estabas dibujando aporta cada vez mejores posibilidades. No nos referimos solo a Google Assistant, que te responde de manera lógica a tus preguntas, si no de su uso en el ámbito médico.

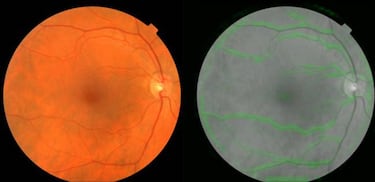
En este campo, donde la llegada de hardware es mejor recibida que un nuevo programa, los de Mountain View han encontrado una aplicación muy interesante: encontrar indicios de enfermedades de corazón. A través de un escáner de retina, la IA de Google será capaz de adivinar la edad del paciente, si fuma o no y la presión arterial, tres factores que determinan el riesgo de sufrir un problema cardiovascular. Su aplicación permitiría no solo hacer analíticas rápidas, también elaborar una solución a estos problemas para que no vayan a más.