El vecino de España alerta de la rara enfermedad ‘nube de humo’: estos son los que corren mayor riesgo
Esta enfermedad crónica y rara tiene como principal consecuencia el ictus y se da especialmente en pacientes de Asia.

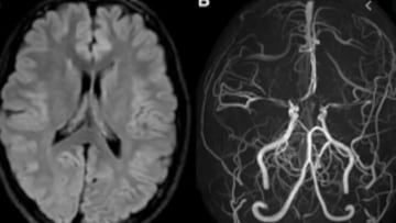
El término “Moyamoya” proviene del japonés y significa “nube de humo”, una descripción gráfica del aspecto que presentan, en angiografías y resonancias magnéticas, los vasos sanguíneos frágiles que los pacientes desarrollan para compensar la estenosis de las arterias cerebrales. Esta enfermedad cerebrovascular crónica y rara es especialmente prevalente en Asia, donde la incidencia es significativamente mayor que en los países occidentales.
La característica principal de la enfermedad es el estrechamiento progresivo de las arterias pre cerebrales y cerebrales, particularmente las carótidas y sus ramas, lo que puede culminar en la obstrucción total de estas arterias. Esto puede resultar en accidentes cerebrovasculares, isquémicos o, menos frecuentemente, hemorrágicos, afectando incluso a personas jóvenes. En Japón, la incidencia de Moyamoya es de 0.54 casos por cada 100,000 habitantes, mientras que en Occidente es mucho menor, variando entre 0.047 y 0.086 casos por 100,000 habitantes. Además, en Asia se ha identificado una fuerte predisposición genética asociada al gen Rnf213, un hallazgo que no se ha replicado en Occidente.
La colaboración entre hospitales, clave para las enfermedades raras
El IRCCS Besta de Milán es el centro de referencia italiano para la Moyamoya y gestiona un registro nacional con más de cien pacientes de los aproximadamente 250 documentados en Italia. El Besta también trabaja en colaboración con otros centros europeos en la red Vascern para la creación de registros europeos, esenciales para el estudio de enfermedades raras.
Noticias relacionadas
El tratamiento principal para la Moyamoya es la revascularización quirúrgica, que combina técnicas directas e indirectas para asegurar un flujo sanguíneo adecuado al cerebro. Esta intervención ha demostrado ser eficaz para reducir la frecuencia de eventos isquémicos y hemorrágicos, cambiando significativamente el pronóstico de la enfermedad. Sin embargo, la causa subyacente de la estenosis progresiva sigue siendo desconocida y no existe un tratamiento que pueda revertir este proceso.
Sigue el canal de Diario AS en WhatsApp, donde encontrarás todo el deporte en un solo espacio: la actualidad del día, la agenda con la última hora de los eventos deportivos más importantes, las imágenes más destacadas, la opinión de las mejores firmas de AS, reportajes, vídeos, y algo de humor de vez en cuando.







Rellene su nombre y apellidos para comentar